Parasitisme intestinal - Atlas de pathologie

Localisation: Appareil digestif, Intestins
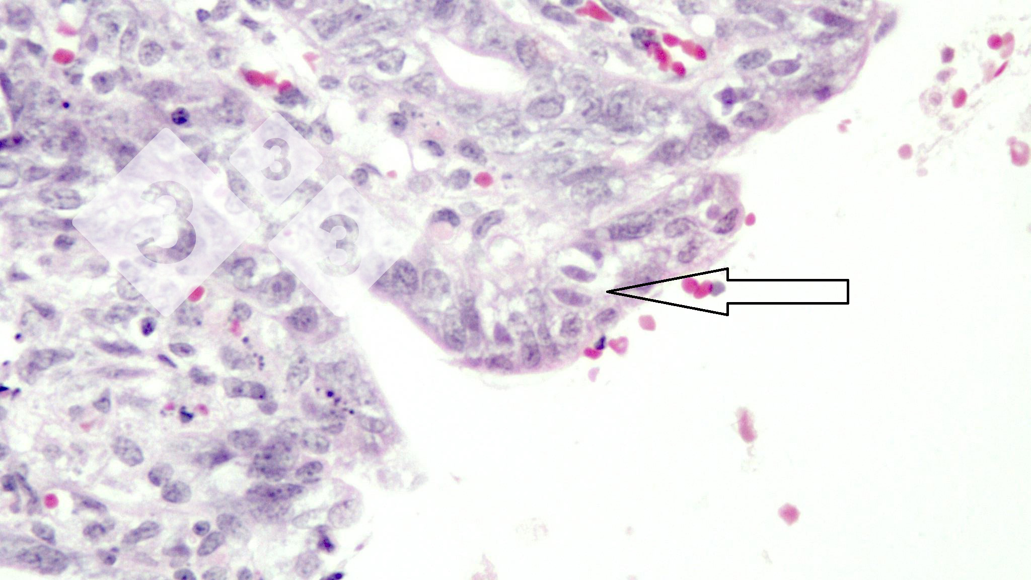
Causes possibles: Coccidiose
Ces organismes sont Isospora suis , la forme commune de la coccidiose chez les porcs. Les porcelets les plus touchés ont une ou deux semaines et ont un aspect amaigri avec une mauvaise condition physique. Isospora suis se développe dans les cellules intestinales de porcelets nouveau-nés pendant plusieurs jours, en endommageant l'épithélium intestinal. C’est en général pire quand le temps est plus chaud, car les ookystes survivent mieux dans les bâtiments de lactation. Les fèces des porcelets touchées sont généralement mous, crémeux et pâteux, avec une couleur gris jaunâtre, ressemblant à du dentifrice. Les porcelets atteints peuvent être issus de truies ou de primipares. À l'autopsie, les intestins ont un contenu d’une consistance comprise entre pâteux et liquide et pâteuse, comme de la craie, sur la paroi interne de la partie centrale de l'intestin grêle. Les prélèvements intestinaux nécessitent un examen histologique minutieux des cellules épithéliales pour visualiser ces coccidies en forme de double banane.




















































































































