Trên thực tế, các vấn đề về hô hấp trên heo hiếm khi do một tác nhân gây bệnh duy nhất gây ra. Thông thường, một số tác nhân gây bệnh sẽ hoạt động cùng một lúc, kết hợp với việc quản lý và điều kiện môi trường không tối ưu, sẽ dẫn đến tình trạng được gọi là bệnh hô hấp phức hợp trên heo (PRDC).
Trong hầu hết các ca bệnh, các tác nhân chính ảnh hưởng đến hệ hô hấp luôn bao gồm: Virus gây hội chứng rối loạn sinh sản và hô hấp trên heo (PRRSV), circovirus type 2 trên heo (PCV2), virus cúm heo (SIV) và Mycoplasma hyopneumoniae (Hình 1). Các tác nhân này thường đi kèm với vi khuẩn cơ hội lợi dụng sự nhiễm trùng sơ khởi để gây bệnh chẳng hạn như Pasteurella multocida, Bordetella bronchiseptica hoặc Glaesserella parasuis, cùng một số loại vi khuẩn khác.


Trong Hình 1, chúng ta có thể thấy rằng M. hyopneumoniae là tác nhân liên quan đến hầu hết các ca đồng nhiễm được tìm thấy trong phổi của những con heo được chẩn đoán mắc bệnh hô hấp phức hợp trên heo (PRDC). Tác nhân này tấn công các lông mao của tế bào biểu mô trong phế quản và tiểu phế quản, làm thay đổi hệ thống niêm mạc, đồng thời gây ra sự tăng sinh ở mô bạch huyết trên niêm mạc đường hô hấp. Cả hai hành động này đều tạo điều kiện cho các tác nhân gây bệnh khác, cả tác nhân sơ khởi lẫn thứ phát xâm nhập, phát triển, gây ảnh hưởng đến hệ hô hấp của heo. Nhiều nghiên cứu thử nghiệm đã cho thấy rằng ngoài việc tạo điều kiện cho các tác nhân gây bệnh khác hoạt động, M. hyopneumoniae còn thường làm tăng cường tác động của chúng, dẫn đến các sự kết hợp gây hậu quả nặng nề nhất trên những con heo bị ảnh hưởng, và do đó, gây ảnh hưởng xấu đến lợi nhuận của trang trại.
Một trong những bệnh đồng nhiễm thường gặp nhất ở các trang trại heo mắc PRDC là bệnh đồng nhiễm do M. hyopneumoniae và virus PRRS gây ra (Hình 2). Trong những ca bệnh đồng nhiễm được chẩn đoán đó, người ta đã quan sát thấy mối tương quan trong kết quả dương tính giữa những con heo có huyết thanh dương tính với từng tác nhân trong số hai tác nhân nói trên; nói cách khác, hầu hết những con heo có kết quả xét nghiệm dương tính với virus PRRS cũng có kết quả xét nghiệm dương tính với M. hyopneumoniae. Ngoài ra, người ta đã chứng minh rằng M. hyopneumoniae làm kéo dài và tăng tình trạng viêm phổi do virus PRRS gây ra, điều này có thể là do sự gia tăng các cytokine gây viêm ở những con heo bị đồng nhiễm với cả hai tác nhân gây bệnh như IL1-β, IL-8 và TNF-α dẫn đến tăng phản ứng viêm tại phổi. Đồng thời, sự tăng tổng hợp cytokine chống viêm IL-10 cũng được ghi nhận, cytokine này có vai trò ức chế và điều chỉnh sản xuất các cytokine khác, ngăn chặn sự kích hoạt phản ứng viêm không kiểm soát, khiến bệnh tích tại phổi kéo dài. IL-10 cũng có khả năng điều chỉnh đáp ứng miễn dịch của động vật, cùng với việc kích hoạt các cơ chế khác, làm thay đổi đáp ứng miễn dịch đặc hiệu, cho phép tác nhân gây bệnh tiếp tục hoạt động trong phổi lâu hơn.

Trong trường hợp đồng nhiễm với M. hyopneumoniae và PCV2, các nghiên cứu đã cho thấy M. hyopneumoniae làm giảm mức độ nghiêm trọng của các bệnh tích do PCV2 gây ra ở phổi và các cơ quan lympho, thúc đẩy sự nhân lên của virus cũng như sự tồn tại của virus trong các mô (Hình 3), do đó làm tăng tỷ lệ mắc các ca bệnh toàn thân do PCV2 (tên gọi thực tế là PMWS - hội chứng còi cọc sau cai sữa).

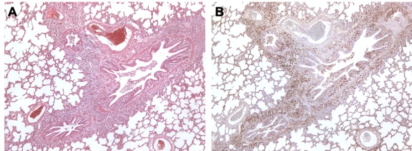
Ở những con heo bị đồng nhiễm M. hyopneumoniae và virus cúm heo (SIV) (Hình 4), các nhà nghiên cứu đã quan sát thấy heo nhiễm một chủng virus cúm heo có độc lực thấp sau khi đã nhiễm M. hyopneumoniae, các dấu hiệu lâm sàng và bệnh tích phổi tăng lên đáng kể. Điều này cho thấy mycoplasma có khả năng làm tăng độc lực của các chủng SIV này.

M. hyopneumoniae cũng thường xuyên xuất hiện kết hợp với các vi khuẩn khác, cho dù đó là tác nhân sơ khởi như Actinobacillus pleuropneumoniae (Hình 5) hay các tác nhân cơ hội như Pasteurella multocida (Hình 6), làm tăng cường hoạt động của chúng trong phổi.


Như chúng ta đã thấy, khi M. hyopneumoniae xuất hiện đồng thời với các tác nhân sơ khởi khác gây PRDC, nó không chỉ làm gia tăng mà còn kéo dài các bệnh tích do các tác nhân này gây ra. Do đó, việc kiểm soát M. hyopneumoniae là vô cùng quan trọng giúp giảm thiểu tác động của PRDC và giảm thiểu thiệt hại kinh tế liên quan đến căn bệnh này.



