El aparato respiratorio tiene como función principal la captación del oxígeno del aire así como la eliminación del CO2 originado en el catabolismo tisular. En el cerdo, además, tiene una importante función en el proceso de termorregulación, ya que al no tener desarrolladas las glándulas sudoríparas, el exceso de calor es eliminado mediante un sistema de evaporación denominado polipnea térmica.
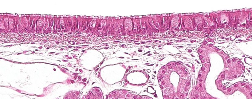
La primera parte del aparato respiratorio, la porción conductora o vías respiratorias, va desde la cavidad nasal hasta las últimas ramificaciones de los bronquiolos, e incluyen además a los senos nasales y paranasales que están conectados con la cavidad nasal, la nasofaringe y la laringe. Todas estas estructuras tubulares están revestidas por un epitelio seudoestratificado ciliado con células caliciformes (figura 1), responsable de uno de los principales sistemas de defensa de la mucosa respiratoria, el aparato mucociliar. Este sistema lo conforman los cilios de las células del epitelio respiratorio, junto con las secreciones de las células caliciformes y las glándulas seromucosas que aparecen bajo la mucosa respiratoria y su principal función es eliminar las partículas que entran a través del aire inspirado. Las glándulas secretan un líquido claro, poco viscoso y rico en proteínas que se dispone entre los cilios conformando un medio que favorece el movimiento de estos en sentido ascendente. El moco que secretan las células caliciformes se deposita sobre los cilios y permite la adherencia de las partículas inhaladas. El movimiento ascendente de los cilios empuja el moco hacia la parte superior del aparato respiratorio, que puede ser deglutido y pasar al aparato digestivo, donde es digerido, o ser expulsado al exterior a través de la boca y/o la cavidad nasal. Agentes como Mycoplasma hyopneumoniae, que provoca la pérdida de los cilios, o virus como el de la gripe porcina o el coronavirus respiratorio, que provocan la destrucción de las células epiteliales, llevan a cabo su acción patógena destruyendo este sistema defensivo.

Asociada a la mucosa respiratoria existen áreas de tejido linfoide (BALT, del inglés Broncus Associated Lymphoid Tissues) donde tiene lugar la interacción entre los linfocitos y los antígenos de agentes patógenos procedentes del exterior, originando una respuesta defensiva específica y evitando así una respuesta inmune sistémica. Está caracterizado por una preponderancia de la respuesta inmune humoral a través de IgA, que es selectivamente secretada en la superficie de las mucosas por medio de un transporte activo.

A partir de los bronquiolos respiratorios se sitúa la porción respiratoria, integrada por los alvéolos, los cuales están delimitados por una delgada pared, por la que fluye una densa red de capilares a través de la cual tiene lugar el intercambio gaseoso entre el aire y la sangre.
El epitelio que reviste los alvéolos está constituido por dos tipos celulares, denominados neumocitos tipo I y II (figura 2). Los neumocitos tipo I son células planas que tapizan la mayor parte de la superficie alveolar y a través de su citoplasma los gases pueden pasar fácilmente. Los neumocitos tipo II se presentan aisladamente o en pequeños grupos entre los neumocitos tipo I, situándose sobre todo en las esquinas, donde se unen a los tabiques alveolares. Son células cuya morfología varía de redondeada a cúbica, con escasas microvellosidades hacia su superficie libre y que contienen en su citoplasma unos organoides denominados cuerpos multilaminares o citosomas. Los citosomas excretan una sustancia surfactante hacia la superficie alveolar que se entremezcla con moléculas de agua reduciendo su cohesión, así logran disminuir la tensión superficial del líquido alveolar, evitando que el pulmón se colapse y favoreciendo que la fuerza de inspiración para llenar de aire los alvéolos sea menor. Estas células tienen capacidad de dividirse y diferenciarse a neumocitos tipo I, siendo la principal fuente de renovación celular. El centro de la pared alveolar lo ocupa el intersticio, de naturaleza conectiva, y que sostiene una amplia red de capilares anastomosados.

Los macrófagos pulmonares suponen otro importante mecanismo de defensa pulmonar. Además de los macrófagos alveolares, situados en la luz alveolar, también podemos encontrar los macrófagos intravasculares pulmonares, situados en el interior de los capilares, y los macrófagos intersticiales, localizados en el intersticio de los septos (figura 2). Los primeros defienden la luz alveolar fagocitando los microorganismos y partículas inhaladas, mientras que los segundos se ocupan de eliminar partículas o agentes patógenos que llegan al pulmón vía sanguínea. La población de macrófagos pulmonares es la principal fuente de producción de mediadores de la inflamación, como las citoquinas y quimioquinas, que también pueden ser secretadas por otros tipos celulares. Estas moléculas tienen como función principal atraer a células inflamatorias como neutrófilos y linfocitos al lugar donde se ha producido la lesión sirviendo así como un "sistema de comunicación" entre las células involucradas en el proceso inflamatorio. Virus como el del Síndrome Respiratorio y Reproductivo Porcino (PRRSV) cuya principal célula diana son los macrófagos alveolares (figura 3), alteran sus funciones básicas (fagocitosis, presentación de antígenos y producción de citoquinas) e inducen su muerte por necrosis y/o apoptosis, lo que modula la respuesta inmune produciendo un retraso en la aparición de una respuesta adaptativa efectiva favoreciendo así la aparición de infecciones secundarias.

Nunca debemos de olvidar que el alveolo, lugar donde se produce el intercambio respiratorio, está en contacto con el exterior, por lo que es fundamental la integridad de aparato mucociliar y la funcionalidad de los macrófagos para mantener la homeostasis de la función respiratoria.










