Introducción
Se trata de una granja comercial de 350 cerdas de ciclo cerrado en Irlanda del Norte.

La granja es negativa a neumonía enzoótica (Mycoplasma hyodysenteriae), pleuroneumonía porcina (Actinobacillus pleuropneumoniae), influenza porcina y PRRS.
La tabla 1 ilustra el protocolo vacunal:
Tabla 1. Programa vacunal.
| Vacuna | Nulíparas | Cerdas | Verracos | Lechones |
|---|---|---|---|---|
| Parvovirus + Mal rojo + Leptospirosis | 2 ml inyectados en el momento de la selección y 2 semanas antes de la cubrición | Inyección de 2 ml 2 semanas antes de la cubrición | Inyección de 2 ml dos veces al año | |
| Vacuna autógena (Streptococcus suis y Staphylococcus hyicus) | 2 ml los días 65 y 95 tras la cubrición | 2 ml el día 95 tras la cubrición |
La reposición se cría en la propia granja. Se utilizan verracos como recela. Las nulíparas y las cerdas se cubren mediante inseminación artificial con semen procedente de un único proveedor.
La granja más cercana está a 6 km de distancia.
Historia
El ganadero contactó al veterinario a causa de un aumento de dificultad respiratoria y mortalidad en los cerdos de engorde durante los últimos 3 días.
Investigación
3.1. Investigación clínica
Durante una visita a la granja en noviembre de 2017, había muchos cerdos de 18 - 24 semanas con signos clínicos de tos (foto 1 y vídeo 1) y cianosis en las partes más distales del cuerpo. El comedero con pienso húmedo no estaba vacío, lo que indica falta de apetito. Se tomó la temperatura rectal de varios animales clínicamente afectados y se vió que presentaban pirexia. La condición corporal de los animales era normal.

Figura 1. Cerdo tosiendo en un corral hospital. Nota: El comedero del corral hospital tiene pienso en harina ad libitum.

Vídeo 1. Cerdos clínicamente enfermos, con tos.
Se realizó una segunda visita 2 dos semanas después para tomar muestras de sangre de las cerdas y del engorde.
Antes del brote, la mortalidad desde el destete hasta final de cebo era del 3,5%, principalmente a causa de animales eutanasiados a causa de hernias y/o prolapsos rectales.
3.2. Investigaciones de laboratorio
En noviembre de 2017 se necropsiaron tres cerdos muertos en la propia granja (figura 2).

Figura 2. Cerdo de acabado con cianosis en las partes bajas y distales del cuerpo.
Los tres cerdos necropsiados presentaron múltiples petequias en en el parenquima pulmonar (figura 3). Se recogieron muestras que fueron enviadas al laboratorio para su análisis.

Figura 3. Múltiples petequias en el parénquima pulmonar.
La tabla 2 resume las investigaciones laboratoriales de los pulmones.
Tabla 2. Resultados laboratoriales de los tres pulmones remitidos.
| Hallazgos bacteriológicos | Hallazgos biomoleculares | |
|---|---|---|
| Pulmón 1 | Sin crecimiento. | Negativo a Mycoplasma hyopneumoniae y PRRS por RT-PCR. Positivo al virus de la influenza tipo A por RT-PCR (CT:18.1) subtipo H1N1. |
| Pulmón 2 | Sin crecimiento. | Negativo a Mycoplasma hyopneumoniae y PRRS por RT-PCR. Positivo al virus de la influenza tipo A por RT-PCR (CT:26.9) subtipo H1N1. |
| Pulmón 3 | Sin crecimiento. | Negativo a Mycoplasma hyopneumoniae y PRRS por RT-PCR. Positivo al virus de la influenza tipo A por RT-PCR (CT:31.5) subtipo H1N1. |
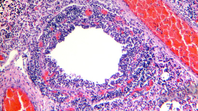
Examen histológico del tejido pulmonar mostrando infiltración linfocítica de la lamina propia y la submucosa de los bronquios (figuras 4 y 5).

Figura 4. Bronquiolo que muestra descamación y necrosis del epitelio respiratorio, junto con una marcada infiltración linfocítica de la lámina propia y submucosa.

Figura 5. Infiltrado linfocitario perivascular.
La tabla 3 resume las investigaciones laboratoriales de las 14 muestras de sangre recogidas de las cerdas y el engorde.
Tabla 3. Resultados laboratoriales de las 14 muestras de sangre remitidas.
| PRRS (ELISA) | Influenza A (ELISA) | Actinobacillus pleuropneumoniae (ELISA) | PCV-2 (ELISA) | Mycoplasma hyopneumoniae (ELISA) | |
|---|---|---|---|---|---|
| 3 cerdos de 12 semanas con síntomas respiratorios | 3 (-) | 2 (+) 1 (-) |
3 (-) | 3 (-) | 3 (-) |
| 2 cerdos recuperados | 2 (-) | 1 (+) 1 (-) |
2 (-) | 2 (-) | 2 (-) |
| 2 lechones con tos de distintas madres | 2 (-) | 2 (+) | 2 (-) | 2 (-) | 2 (-) |
| 7 cerdas | 7 (-) | 7 (+) | 7 (-) | 7 (-) | 7 (-) |
Se analizaron las muestras positivas a influenza A buscando anticuerpos frente a subtipos H1N1, H3N2 & H1N2 y los subtipos pandémicos panH1N1 y panH1N2. Se detectaron títulos muy elevados de anticuerpos contra todos estos subtipos (≥ 320 to 2560) en los animales afectados, indicando una infección reciente.
4. Diagnóstico diferencial
En base a las investigaciones clínicas y laboratoriales, se preparó la siguiente lista para diagnóstico diferencial:
- PRRS (Síndrome Reproductivo y Respiratorio Porcino).
- Virus influenza tipo A (gripe).
- Neumonía enzoótica (Mycoplasma hyopneumoniae).
- Pleuroneumonia porcina (Actinobacillus pleuropneumoniae).
En base al historial y a la consistencia de las investigaciones clínicas y de laboratorio se diagnosticó virus de la influenza tipo A.
5. Programa de control
Se implementó el siguiente protocolo de emergencia para la gripe:
- Vacunación en masa de todas las reproductoras: dos veces, con un intervalos de 3 semanas entre inyecciones.
- Los cerdos se vacunaron al destete con 2 ml de una vacuna comercial frente a la gripe tan pronto como se diagnosticó la infección.
- Medicación de todos los piensos con 85 ppm de tartrato de tilvalosina por tonelada durante 20 días para contrarrestar los patógenos respiratorios.
Una vez inmunizada dos veces toda la reproducción se hizo lo siguiente:
- Vacunación de las nulíparas: dos veces antes de la cubrición, con un intervalo de 3 semanas entre inyecciones.
- Las reproductoras recibieron un recordatorio 14 días antes del parto (una dosis).
Por desgracia, en el momento del brote, las vacunas disponibles en el país no cubrían los subtipos pandémicos panH1N1 y panH1N2. Como precaución, desde septiembre de 2018 se ha introducido una vacuna que cubre los subtipos pandémicos.
6. Respuesta al programa de control
Hubo un aumento de la mortalidad desde el 3,5%, al inicio del brote, a un 11,5%, en el pico de 4 semanas después. La mortalidad se redujo gradualmente hasta niveles normales 10 semanas después del inicio brote.
La tasa de concepción cayó de 94% a 86% durante dos meses. Esto se reflejó con una reducción de la tasa de partos de 91% a 84% durante el mismo periodo. No hubo abortos.
7. Discusión
La influenza porcina es una enfermedad respiratoria aguda, infecciosa causada por virus de la influenza tipo A. La enfermedad se caracteriza por un inicio súbito, tos, disnea, fiebre y postración, seguido por una recuperación rápida. Las lesiones se suelen desarrollar rápidamente en el tracto respiratorio y desaparecen rápidamente, pero en algunos casos una neumonía vírica severa puede producir la muerte (Easterday et al., 1999). Todos estos signos clínicos fueron observados en este caso.
La gripe porcina está causada por el virus de la influenza tipo A, de la familia Orthomyxoviridae. Hay mucha información disponible sobre las características antigénicas, genéticas, estructurales y biológicas de los virus influenza tipo A (Murphy et al., 1990; Lamb et al., 1996). Las dos glicoproteínas de superficie del virus, hemaglutinina (H) y neuraminidasa (N), son los principales antígenos para inducir inmunidad protectiva en el hospedador y, por lo tanto, muestran las mayores variaciones.
La vigilancia llevada a cabo en Irlanda del Norte entre 2011 y 2013 ha mostrado que el principal subtipo aislado en cerdos fue H1N1 pandémico, seguido por otros subtipos (H1N1, H3N2) con menor frecuencia (Borobia et al., 2015).
Las condiciones meteorológicas eran favorables a la diseminación del virus en el momento en que se produjo este brote. Hubo humedad con temperatura fluctuante durante los 3 meses previos y con periodos de fuertes vientos. Es probable que los humanos o los estorninos (figura 6) puedan haber infectado a los cerdos por contacto directo o por infección aerógena por la proximidad con otras explotaciones. Ambas opciones pueden haberse producido en este caso.

Figura 6. Estorninos en contacto directo con los cerdos, comiéndose los restos de pienso que quedan en los comederos.
La morbilidad de la gripe porcina se describe como elevada (cercana al 100%) (Taylor, 1995; Easterday et al., 1999), como se ve en este caso. Taylor (1995) y Easterday et al., (1999) han descrito una tasa de mortalidad menor al 1% a menos que haya infecciones concomitantes y/o los cerdos sean muy jóvenes. Por desgracia, en este caso, la mortalidad superó el 1%, como se describe más arriba.
Diferentes autores han descrito problemas reproductivos, de partos y neonatales en casos de gripe porcina (Taylor, 1995; Muirhead et al., 1997; Easterday et al., 1999; Jackson et al., 2007). En este caso sólo se observaron efectos en la tasa de repeticiones y el índice de partos.
El uso de tartrato de tilvalosina en pienso se basa en informes del Dr. David Brown y la Dr. Amanda Stuart del Departamento de patología de la Universidad de Cambridge. El efecto de este antibiótico macrólido sobre PRRS redujo el número de células infectadas in vitro en comparación con otro antibiótico macrólido, la tilosina. La tilvalosina también redujo el número de células infectadas por otros virus, incluyendo virus de la gripe humana y equina (Brown et al., 2006). Además, la tilvalosina tiene una acumulación intracelular y distribución que otros macrólidos (Stuart et al., 2007).










