Los virus son importantes agentes causales de enfermedades que afectan al aparato respiratorio del cerdo. Entre ellos destacan el virus del Síndrome Respiratorio y Reproductivo Porcino (PRRSV, del inglés, Porcine Reproductive and Respiratory Syndrome Virus), el Circovirus Porcino tipo 2 (PCV2, del inglés, Porcine Circovirus type 2), los virus de la Influenza porcina (SIV, del inglés Swine Influenza Virus) y el Coronavirus Respiratorio Porcino (PRCV, del inglés Porcine Respiratory Coronavirus). Los tres primeros se consideran agentes primarios, capaces de causar daño por sí mismos, mientras que el cuarto es un agente secundario, que actúa cuando ha habido una infección previa por otro agente primario o el animal está inmunodeprimido.
El PRRSV es un virus ARN, perteneciente al orden Nidovirales, familia Arteriviridae, que actualmente se incluye dentro del nuevo género Betaarterivirus (antiguo género Arterivirus). Su marcada diversidad genética ha hecho que los dos genotipos del PRRSV (europeo y norteamericano) se consideren actualmente como dos especies víricas diferentes: Betaarterivirus suid 1, correspondiente al genotipo 1 o europeo (PRRSV-1), cuyo prototipo es el virus Lelystad (LV); y Betaarterivirus suid 2, que se corresponde con el genotipo 2 o norteamericano (PRRSV-2), cuyo prototipo es la cepa VR-2332.

El PRRSV es capaz de modular e incluso evadir la respuesta inmune del hospedador. Este virus infecta a los macrófagos alveolares, su principal célula diana, alterando sus funciones e induciendo su muerte por necrosis y/o apoptosis, lo que retrasa la aparición de una respuesta inmune adaptativa efectiva y predispone al animal a sufrir infecciones secundarias.
La forma respiratoria se presenta principalmente en los cerdos en crecimiento y cebo, y las lesiones se caracterizan por la aparición de una neumonía intersticial. Macroscópicamente, los pulmones no colapsan al sacarlos de la cavidad torácica, presentando una consistencia gomosa y un parcheado multifocal con áreas de coloración rojiza distribuidas por todo el parénquima pulmonar (figura 1). A nivel microscópico se aprecia un engrosamiento de los tabiques alveolares asociado a un infiltrado de linfocitos y macrófagos, así como una hiperplasia e hipertrofia de los neumocitos tipo II (figura 2).


El PCV2 es un virus ADN de cadena simple, no envuelto y de pequeño tamaño que pertenece al género Circovirus, dentro de la familia Circoviridae. Es el agente causal de una serie de enfermedades conocidas como enfermedades asociadas a circovirus entre las que se incluyen la enfermedad sistémica por PCV2 (PCVAD, del inglés, Porcine Circovirus Associated Disease), conocida clásicamente como el síndrome de adelgazamiento multisistémico postdestete (PMWS, del inglés, Postweaning Multisystemic Wasting Syndrome), la enfermedad pulmonar por PCV2, la enfermedad digestiva por PCV2, el fallo reproductivo por PCV2 y el síndrome dermatitis nefropatía porcino (PDNS, del inglés, Porcine Dermatitis and Nephopathy Syndrome).
PCV2 se multiplica en diversas células del sistema inmune como macrófagos, células dendríticas o linfocitos, causando depleción linfoide y reduciendo la capacidad del hospedador para responder frente a agentes patógenos primarios y/o secundarios.
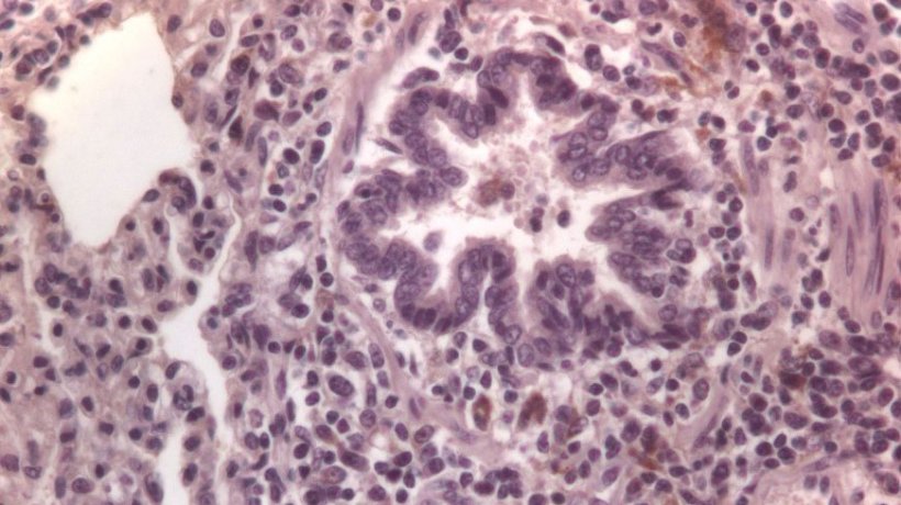
Las lesiones pulmonares que causa el PCV2 son similares macro y microscópicamente a las causadas por PRRSV, ya que como este, provoca una neumonía intersticial, por lo que debemos recurrir a otras técnicas diagnósticas como la inmunohistoquímica (figura 3), hibridación in situ o PCR para poder establecer el diagnóstico. Además, son dos agentes que suelen aislarse de forma conjunta ya que la infección por PRRSV está asociada a un incremento en la replicación y virulencia de PCV2.

SIV es un virus polimórfico y envuelto que pertenece a la familia Orthomyxoviridae, la cual incluye siete géneros diferentes: Influenzavirus A, B, C y D, Isavirus, Quaranjavirus y Thogotovirus. Aunque los géneros Influenzavirus A, B, C y D han sido identificados en el cerdo, la mayoría de las cepas que provocan la gripe o influenza porcina se incluyen dentro de los géneros Influenzavirus A y C.
El SIV se replica en las células epiteliales del aparato respiratorio (alto y bajo), alterando el funcionamiento del aparato mucociliar, lo que favorece la aparición de infecciones bacterianas secundarias. La principal lesión que causa en el pulmón es una neumonía broncointersticial, caracterizada macroscópicamente por la presencia de lesiones craneoventrales o multifocales difusas de color rojo oscuro o marrón, de extensión variable, muy similares a las provocadas por Mycoplasma hyopneumoniae (figura 4). A nivel microscópico, provoca una bronquiolitis necrotizante (figura 5) que se acompaña de la presencia de infiltrados linfohistiocíticos peribronquiales y en los septos alveolares y de un exudado mucopurulento en los bronquiolos.


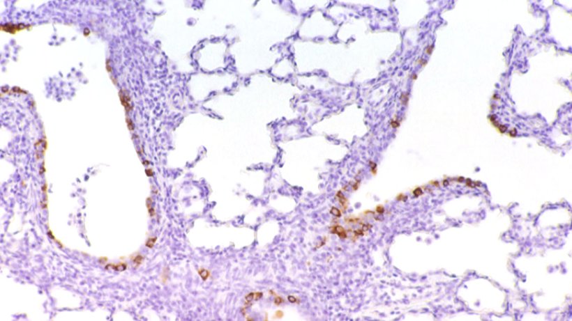
El Coronavirus Respiratorio (PRCV) es una deleción mutante del virus de la gastroenteritis trasmisible con un especial tropismo por el tracto respiratorio, que infecta las células epiteliales de cavidad nasal, tráquea, bronquios y bronquiolos (figura 6) y a los neumocitos tipo I y II. Las lesiones pulmonares se caracterizan macroscópicamente por la presencia de áreas de consolidación de color rojo a marrón con bordes irregulares localizadas sobre todo en los lóbulos medios y el accesorio (figura 7). Microscópicamente, el patrón lesional es similar a una neumonía broncointersticial multifocal caracterizada por la aparición de necrosis de las células del epitelio bronquial y bronquiolar, metaplasia escamosa, infiltrado linfohistiocítico peribronquiolar, perivascular y en los septos alveolares, que se acompaña de proliferación de neumocitos tipo II y la presencia de células epiteliales necróticas y leucocitos en la luz de las vías aéreas y los alvéolos.



El Complejo Respiratorio Porcino tiene un carácter multietiológico, en el que juegan un papel fundamental PRRSV, PCV2 y SIV, ya que van a provocar un retraso en la instauración de la respuesta inmune (PRRSV, PCV2) o un fallo en la funcionalidad del aparato mucociliar (SIV).











