
Vídeo de necropsia: bronconeumonía fibrinosa
Como complemento al curso de necropsias hemos elaborado una serie de vídeos de diferentes procesos en el cerdo.
Noticias, eventos y reportajes de actualidad del sector porcino
Los eventos del sector porcino que se organizan en todo el mundo
Forum de discusión sobre temas relacionados con el sector porcino
Un resumen semanal de las novedades de 3tres3.com
Boletín de noticias sobre el mundo del porcino
La salud del porcino: noticias y artículos sobre PRRS, PCV2, bioseguridad, etc., guía de enfermedades del cerdo, atlas de patología, casos clínicos...
Biocheck.UGent es un sistema de puntuación científico independiente, basado en riesgos, para evaluar la calidad de su bioseguridad en la granja.
Cómo realizar una necropsia en un cerdo, paso a paso, de una forma muy visual y práctica.
Toda la información sobre PPA: cómo reconocer la enfermedad, cómo se transmiste, imágenes de lesiones, últimas noticias, guías,...
Toda la información sobre Fiebre Aftosa en porcino: cómo reconocer la enfermedad, cómo se transmiste, imágenes de lesiones, últimas noticias, guías,...
Descripción de las enfermedades y afecciones más importantes en porcino
Lesiones y signos de las principales enfermedades porcinas
Herramienta para diagnosticar enfermedades del porcino
Un diccionario sobre terminología específica del sector porcino
Calcula la cantidad de medicamento a incorporar en el agua cuando usamos un dosificador de flujo
Un resumen semanal de las novedades de 3tres3.com
Precios del cerdo por países. Producción y comercio de carne de cerdo. Noticias del mercado del porcino y las materias primas
Últimas cotizaciones de los mercados mundiales más importantes del porcino. Históricos de precios en diversas monedas y en formato gráfico.
Últimas cotizaciones de las principales materias primas para piensos. Gráficas históricas junto con el precio del cerdo y estimación del precio del pienso.
Últimas cotizaciones de los principales cortes de carne de cerdo. Históricos de precios en diversas monedas y en formato gráfico.
Calcula tu coste de producción, compáralo con la referencia y valora como afecta cada parámetro al coste de producción total y al margen
Datos de censos, producción y comercio de carne.
Datos de producción y comercio mundial de las principales materias primas
Cotizaciones de porcino ibérico en las lonjas de Extremadura, Salamanca y Araporc.
Un resumen semanal de las novedades de 3tres3.com
Información semanal del precio del cerdo y materias primas además de un índice de materias primas.
Artículos sobre nutrición y alimentación de cerdos, características de las materias primas y aditivos para porcino y precios de las materias primas
Últimas cotizaciones de las principales materias primas para piensos. Gráficas históricas junto con el precio del cerdo y estimación del precio del pienso.
Datos de producción y comercio mundial de las principales materias primas
Fichas técnicas de las principales materias primas y aditivos. Incluyen información de valores nutricionales, producción y comercio, estudios recientes, ...
Un diccionario sobre terminología específica del sector porcino
Utiliza esta herramienta para diagnosticar problemas con el índice de conversión. Haz click en el diagrama de flujo o en los botones dentro del texto para navegar por las distintas partes de la herramienta.
Un boletín quincenal con las últimas novedades sobre la nutrición porcina
Artículos sobre genética y reproducción en el porcino: selección genética, genómica, inseminación artificial, uso de hormonas...
Compara los datos productivos, calcula el número de plazas para cerdas, transición y cebo y visualiza tus tareas sobre el calendario según cada tipo de MEB.
Calcula las entradas de cerdas necesarias en una granja en activo, una granja que inicia la actividad o una granja que amplia
Herramienta para comparar los datos reproductivos de tu granja con la base de datos BDporc y ver la evolución de los parámetros reproductivos de BDporc
Un diccionario sobre terminología específica del sector porcino
Utiliza esta herramienta para investigar porqué tu tasa de partos es inferior a la ideal. Clica en el diagrama de flujo o en los botones dentro del texto para navegar por las distintas partes de la herramienta.
Un resumen semanal de las novedades de 3tres3.com
Manejo y gestión de las granjas de cerdos y organización del trabajo en cada una de las fases de producción: manejo en gestación, cebo, manejo en bandas...
Compara los datos productivos, calcula el número de plazas para cerdas, transición y cebo y visualiza tus tareas sobre el calendario según cada tipo de MEB.
Calcula tu coste de producción, compáralo con la referencia y valora como afecta cada parámetro al coste de producción total y al margen
Calcula las entradas de cerdas necesarias en una granja en activo, una granja que inicia la actividad o una granja que amplia
Herramienta para comparar los datos reproductivos de tu granja con la base de datos BDporc y ver la evolución de los parámetros reproductivos de BDporc
Aquí puedes comparar diversos objetos o juguetes usados como material de enriquecimiento con el objetivo de prevenir las mordeduras de cola en cerdos.
Un diccionario sobre terminología específica del sector porcino
Un resumen semanal de las novedades de 3tres3.com
Diseño de instalaciones y equipos para granjas de cerdos: diseño de naves, climatización, sistemas de alimentación, etc. Comparadores de equipamiento.
Biocheck.UGent es un sistema de puntuación científico independiente, basado en riesgos, para evaluar la calidad de su bioseguridad en la granja.
¿Qué tolva se adapta mejor a mis necesidades? Aquí puedes comparar las características de diversas tolvas comerciales.
¿Qué bebedero se adapta mejor a mis necesidades? Aquí puedes comparar las características de diversos bebederos comerciales.
Calculadora de la Huella Ambiental a lo largo de la cadena de valor del sector porcino
Un diccionario sobre terminología específica del sector porcino
Utiliza esta herramienta para investigar que estrategia de gestión de purines se adapta mejor a tu situación. Clica en el diagrama de flujo o en los botones dentro del texto para navegar por las distintas partes de la herramienta.
Un resumen semanal de las novedades de 3tres3.com
Información sobre el sector cárnico porcino: noticias, legislación, artículos sobre calidad, higiene, seguridad alimentaria, etc. y precios de la carne.
El manual agrupa un conjunto de herramientas que facilitan la gestión de la seguridad alimentaria para las empresas del sector cárnico porcino.
Últimas cotizaciones de los principales cortes de carne de cerdo. Históricos de precios en diversas monedas y en formato gráfico.
Datos de censos, producción y comercio de carne.
Las novedades sobre la carne de cerdo en 3tres3.com
Aquí encontrarás los autores especialistas en porcino que colaboran en 3tres3.com con información de su curriculum
Licenciado (1985) y Doctor (1988) en Veterinaria por la Universidad de Córdoba, completó su formación en diferentes centros como el Institüt für Pathologie de la Tierärztliche Hoschule de Hannover (Alemania), el Institute for Animal Health (Reino Unido), y el College of Veterinary Medicine de la Kansas State University (EEUU). Diplomado por el European College of Veterinary Pathology (1996) y por el European College of Porcine Health Management (2009). En la actualidad es Catedrático del Departamento de Anatomía y Anatomía Patológica Comparadas de la Facultad de Veterinaria de la Universidad de Córdoba donde imparte docencia.
Curriculum actualizado: 05-mar-2020

Como complemento al curso de necropsias hemos elaborado una serie de vídeos de diferentes procesos en el cerdo.

Tras la interpretación de las lesiones, debemos proceder a la toma de muestras.

En la quinta entrega del manual abordamos el examen de los órganos de la cavidad abdominal.

En la cuarta entrega del manual abordamos el examen de los órganos de la cavidad torácica.

Mientras que en las dos primeras entregas hemos abordado la necropsia en decúbito lateral, en esta tercera entrega explicaremos como hacer la necropsia en decúbito supino.

En esta segunda entrega vemos la extracción del conjunto lengua-tráquea-pulmones-corazón. Extraeremos los órganos de la cavidad abdominal, tanto del sistema digestivo como del aparato urinario y genital. En la cabeza accederemos a los cornetes nasales y el cerebro y cerebelo.

Empezamos una nueva sección, coordinada por el equipo de anatomía patológica de la Universidad de Córdoba, que nos mostrará, de una forma muy visual y práctica, como llevar a cabo una necropsia en un cerdo.

¿Cuál es el efecto real de las neumonías sobre el rendimiento económico de la explotación? ¿qué parecido hay entre una neumonía y el estrés por calor?

M. hyopneumoniae participa en la mayoría de las coinfecciones en casos del complejo respiratorio porcino. ¿Cómo actúa y qué efectos tiene?

Este artículo describe las principales lesiones que caracterizan las principales neumonías bacterianas. Aunque la mayoría son agentes oportunistas, hay dos agentes bacterianos primarios que son capaces de causar lesiones por sí mismos.

Este artículo analiza las distintas lesiones micro y macroscópicas causadas por los virus de PRRS, PCV2, el virus de la gripe porcina y el coronavirus respiratorio porcino.

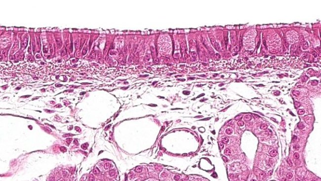
¿Qué tipo de células forman el sistema de defensa respiratorio en los cerdos? ¿Cómo se organizan y se comunican entre sí?
Bienvenido a 3tres3
Conecta, comparte y relaciónate con la mayor comunidad de profesionales del sector porcino.
¡Ya somos 202179 Usuarios!
Regístrate¿Ya eres miembro?



