La foto de la semana

Semana del 17-mar-2023
Las úlceras cutáneas se producen por:

Semana del 10-mar-2023
Las lesiones de las orejas son producidas por:

Semana del 03-mar-2023
¿Cuál es la causa más probable de los abscesos en jamón?

Semana del 24-feb-2023
Las lesiones en piel por erisipela como mejor se observan es:

Semana del 17-feb-2023
¿Cual es el agente patógeno más frecuente en las artritis?

Semana del 10-feb-2023
¿Cuáles pueden ser factores de riesgo de una necrosis auricular?

Semana del 03-feb-2023
La causa de la hipertrofia de bazo es:

Semana del 27-ene-2023
¿Cuál es el riesgo tras el sacrificio de un cerdo con hernia escrotal?

Semana del 20-ene-2023
¿Cuál es la causa de la hernia umbilical?

Semana del 13-ene-2023
Los residuos observados en el jamón son:

Semana del 06-ene-2023
¿Cuál es la causa más probable de esta lesión?

Semana del 30-dic-2022
¿Dónde se localizan estos quistes?

Semana del 22-dic-2022
¿Cómo actuar en accidente por rotura de aguja en inyección intramuscular?

Semana del 16-dic-2022
La ictericia generalizada se manifiesta por:

Semana del 09-dic-2022
¿Cual es la causa de la melanosis maculosa?

Semana del 02-dic-2022
¿Dónde se encuentran las lombrices adultas?

Semana del 25-nov-2022
¿Cuál es la causa del hematoma en el lomo?

Semana del 18-nov-2022
¿Cuál es la causa del abceso?

Semana del 11-nov-2022
¿Qué relación existe entre el rabo y el pulmón?

Semana del 04-nov-2022
Las vesículas del enfisema intestinal están llenas de:

Semana del 28-oct-2022
¿Donde se encuentran las larvas de Trichinella spiralis?

Semana del 21-oct-2022
El hermafroditismo en porcino

Semana del 14-oct-2022
En el este aparato reproductor de una cerda, ¿qué son las partes señaladas con flechas?

Semana del 07-oct-2022
¿De qué lesión se trata?

Semana del 30-sep-2022
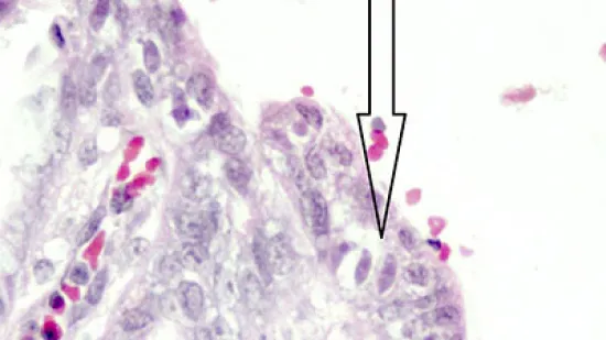
¿Qué son los organismos (flecha) que hay dentro de la mucosa del intestino delgado de este lechón con diarrea?

Semana del 23-sep-2022
¿Cuál es la causa de estas lesiones cutáneas en la cara de este lechón?

Semana del 16-sep-2022
¿Cuál es la etiología de esta lesión intestinal?