Anemia - Atlas de patología

Ubicación: otros
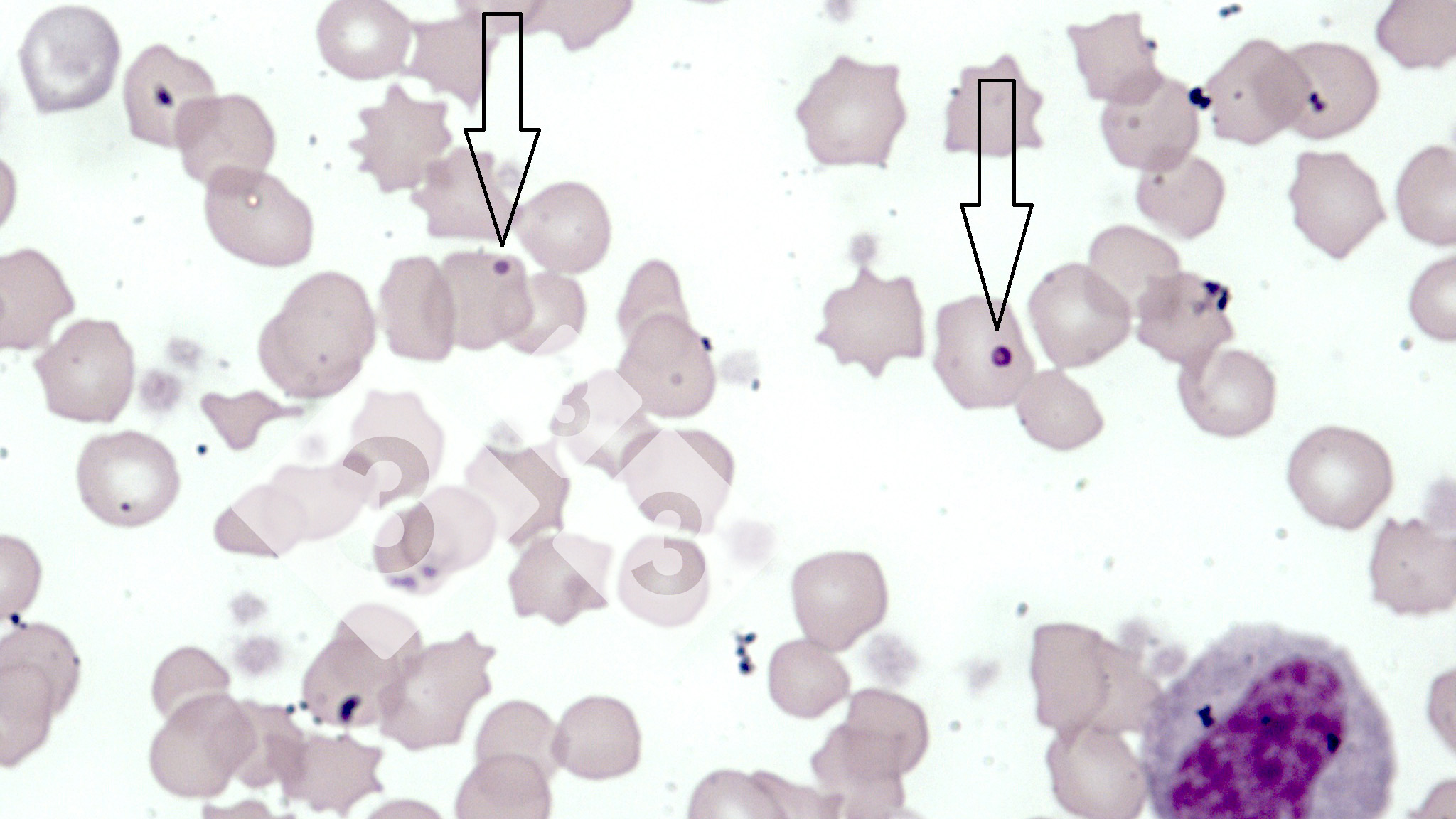
Posibles causas: Mycoplasma suis
Se trata de una anemia causada por la pequeña bacteria Mycoplasma suis (antes conocida como Eperythrozoon). Las cerdas afectadas están decaídas, delgadas y pálidas con una baja producción de calostro y leche. La anemia en cerdos puede confirmarse mediante el examen de la esclerótica o los párpados, que están pálidos y blancos. Para buscar el pequeño Mycoplasma suis es útil la fijación de frotis sanguíneos con metanol y su tinción con productos rutinarios, como la tinción de Giemsa. Es común que en infecciones por Mycoplasma suis, los recuentos de glóbulos rojos sean muy bajos, alrededor de 4,2 a 5,5 x 106 células por mm3 de sangre, en comparación con los valores de referencia de 5,6 a 9,5 x 106 células por mm3. Esta enfermedad se produce esporádicamente en grupos de cerdos, donde las jeringas y las agujas se comparten entre los diferentes cerdos. Esto puede servir para propagar la infección entre grupos, por ejemplo de las cerdas a las nulíparas.
Un resumen semanal de las novedades de 3tres3.com
Accede y apúntate a la lista



































































































































































































































































































































