Página 7 de Artículos sobre PCV2

Fallos vacunales en el control de PCV2
La incidencia de enfermedades asociadas a PCV se asocia a un mal manejo de las vacunas frente a PCV2 a nivel de granja, que generalmente desencadena altos niveles de PCV2 y de signos clínicos asociados en cerdos.
Efecto de la edad sobre la efectividad de la vacuna contra PCV2 en lechones con elevados niveles de MDA
Perfiles de expresión génica en células mieloides frente a la infección por PCV2b

Caso clínico: Desórdenes reproductivos en una granja nueva
En una granja recién establecida se observa fiebre, anorexia y una fertilidad inferior a la esperada en las nulíparas de los dos primeros lotes entrados.

Nuevas variantes de PCV2 (conocidas como PCV2 mutante): ¿Las vacunas actuales funcionan frente a ellas?
Durante 2012 aparecieron en EEUU variantes o mutantes de PCV2 (mPCV2) que solían estar asociadas a procesos clínicos. La posible falta de protección cruzada de las vacunas comerciales frente a mPCV2 es ahora una de las principales preocupaciones.
Respuesta humoral y transferencia de anticuerpos calostrales tras la vacunación frente al PCV2 con dosis única antes de la inseminación

Modelización de la dinámica de infección por PCV2 en un ciclo cerrado
Se observó que la reducción de la mezcla de los lechones en lactación y transición retrasaba el proceso infeccioso, reduciendo el número de infecciones tempranas. La agrupación de lechones por camada en pequeñas unidades tras el destete también disminuyó significativamente la probabilidad de una infección temprana.
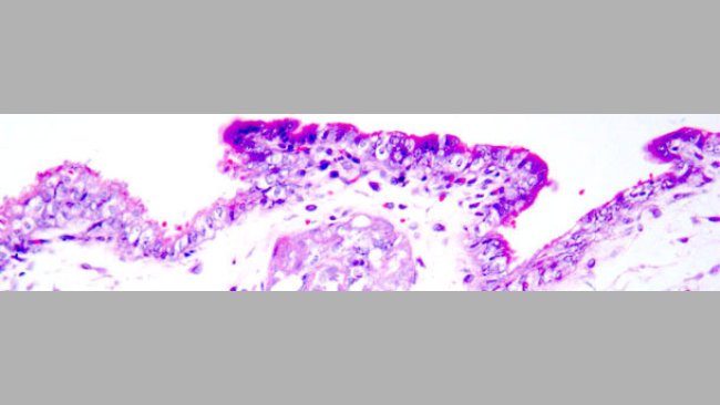
Transmisión placentaria del circovirus porcino tipo 2

Rentabilidad de las actuaciones en salud animal durante el engorde
Lo que aumenta más al rentabilidad de una explotación no es la minimización de los costes, sino la maximización de los ingresos.
Eficacia de una vacuna inactivada del PCV2 con adyuvante oleoso en dosis única

Diagnóstico de enfermedades asociadas a PCV2: una cuestión de orden
Pese a la evidente utilidad del diagnóstico laboratorial, no hay que olvidar que una necropsia de campo nos hace retornar una parte de la pérdida que ha producido la muerte del animal.
Asociación entre la GMD, contenido de materia seca fecal y concentración de Lawsonia intracellularis en heces porcinas

IA en nulíparas con semen contaminado con PCV2. Protección mediante vacunación de nulíparas frente a PCV2
La vacunación de las primerizas frente a PCV2 antes de la insemianción con semen infectado con PCV2 disminuyó claramente la carga y la excreción viral, hasta valores compatibles con la protección de los fetos.

Propiedades del PCV2 y sus implicaciones
Viendo que PCV2 posee una alta resistencia ambiental y altas capacidades de transmisión, no es sorprendente que tenga una distribución ubicua.

Transmisión de PCV2 de cerdas a lechones en las maternidades
La infeccion de los cerdos ocurre en el parto pero la inmunidad maternal contiene la infección virémica en los lechones hasta que decae alrededor de las 10 semanas, momento en que la infección escondida reaparece.